Dentures and Partial Dentures in Wheat Ridge, CO
If you are missing several or all of your teeth, customized dentures could serve as an excellent solution for restoring your smile. Dentures can help you eat, speak, and laugh comfortably without feeling self-conscious about your appearance. At Trailhead Dental in Wheat Ridge, Colorado, we offer complete and partial dentures that are designed to resemble and function like your natural teeth, giving you both cosmetic and functional benefits.
What Are Dentures?
Dentures are prosthetic devices used to replace multiple missing teeth. If teeth are lost due to disease, injury, or natural aging, dentures can serve as a solution to restore oral function, maintain the shape of your face, and help you regain a natural-looking smile.
Dentures consist of:
- Artificial gums: Usually made from plastic materials, these gums are pink-colored and blend seamlessly with the tissues in your mouth.
- Prosthetic teeth: Typically fabricated from acrylic or composite resins, these teeth are designed to look and feel as close to your natural teeth as possible.
Our practice uses advanced digital technology and imaging to create dentures that comfortably and securely fit. We ensure that your dentures not only restore your smile but also function well for eating and speaking.
One of the advantages of dentures is that they are removable, which makes cleaning both your mouth and your dentures easy. We provide specific care instructions to help you maintain your dentures, allowing them to last longer and stay in good condition before you need a replacement set.

Types of Dentures
At Trailhead Dental, we create both complete and partial dentures tailored to meet your needs, depending on the number of missing teeth.
Complete Dentures
Complete dentures are designed to replace all of the teeth in one or both jaws. Made entirely of plastic, complete dentures rest directly on the gum tissue. These dentures have been a reliable treatment option for centuries, serving as an effective solution for those who have lost or are about to lose all of their teeth.
If you still have some remaining teeth, we may recommend having them extracted before moving forward with the complete denture process. Once your gums heal, we can proceed with the fitting of your complete dentures, ensuring a comfortable and functional fit.

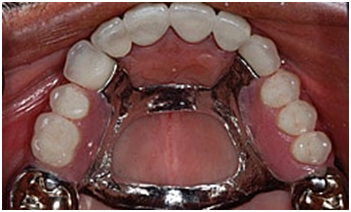
Partial Dentures
Partial dentures are designed to replace sections of missing teeth while preserving your remaining natural teeth. They consist of plastic teeth fused to a metal framework that rests on both the gum tissue and the remaining teeth. Partial dentures fill in gaps left by missing teeth, preventing the remaining teeth from shifting and affecting your bite.
- Plastic partial dentures: These are often temporary solutions made entirely of plastic.
- Metal-framework partial dentures: Metal framework partial dentures: These provide a stronger and more durable option and are often preferred for long-term use.

Using Implants to Secure Dentures
In many cases, dental implants can be used to help secure dentures or partial dentures. Implants demonstrate greater stability, preventing dentures from shifting or becoming loose, which is common with traditional dentures that are supported by suction and/or adhesives on the gums.
There are two primary types of implant-supported dentures:
- Snap-in overdentures:These dentures securely snap onto two to four dental implants, providing a more stable fit than traditional dentures.
- Hybrid dentures: These are permanently attached to four to six dental implants, providing even greater stability and function.
Using implants to secure your dentures can significantly improve your quality of life, allowing you to speak and eat more comfortably and with confidence.
How Should You Maintain Your Dentures?
One of the benefits of dentures is their removability, which makes cleaning easier compared to other restorative options. Here’s how to care for your dentures:
- Handle with care: Always handle your dentures carefully when removing them to avoid damage. Store them in a safe container overnight.
- Cleaning your dentures: Use warm water, a soft-bristled toothbrush, and a mild soap to clean your dentures. Avoid using regular toothpaste as it may be too abrasive and could damage the surface of your dentures.
- Clean your gums: When your dentures are out, use a soft-bristled toothbrush, water, and toothpaste to clean your gums to prevent buildup and maintain good oral hygiene.
Proper maintenance of your dentures will not only keep them looking good but also ensure they last longer before requiring a replacement set.
Denture and Partial Denture Specialists
Creating well-fitting and functional dentures requires specialized expertise. A significant portion of a prosthodontist's training is dedicated to the design, fabrication, and clinical procedures related to dentures and partial dentures. Dr. Leong, our prosthodontist at Trailhead Dental, has the extensive education and experience needed to ensure your dentures:
- Fit comfortably on your gums
- Provide the proper bite and chewing function
- Look natural and aesthetically pleasing
Dr. Leong also performs a significant portion of the laboratory work for dentures in our in-office lab, which allows for greater control over the final outcome. This in-house capability ensures that your dentures are made with precision and care.
Conclusion
If you are considering replacing missing teeth with dentures, Trailhead Dental is here to help. Whether you need complete or partial dentures, we offer personalized solutions that restore both the function and beauty of your smile. Our advanced technology and expertise ensure that your dentures fit comfortably and last a long time.
For more information or to schedule a consultation, visit us at 4350 Wadsworth Blvd, Suite 360, Wheat Ridge, CO 80033, or call us at (720) 242-6803. Let us help you regain your confidence and enjoy a healthy, beautiful smile once again!
Office Hours
MON - THU 7:15 am - 3:30 pm
FRI - SUN Closed














