Dental Implants in Wheat Ridge, CO
Missing teeth can cause many challenges, from difficulty eating your favorite foods to feeling self-conscious during conversations or social events. In addition, missing teeth can negatively impact your oral health, leading to bone loss and shifting teeth. Fortunately, dental implants are a modern and reliable solution that can restore both function and aesthetics to your smile. At Trailhead Dental in Wheat Ridge, Colorado, we provide state-of-the-art dental implants that can transform your smile and boost your confidence.
What Are Dental Implants?
A dental implant is a titanium post that serves as a replacement for the root of a missing tooth. The implant is surgically inserted into the jawbone, where it is fused with the bone as the latter heals over time in a process called osseointegration. Once integrated, the implant becomes a sturdy foundation for one or more artificial teeth.
Dental implants are made up of three key components:
- Implant post: The titanium screw that is placed into the jawbone.
- Abutment: The connector piece that attaches the implant post to the restoration.
- Restoration: The final artificial tooth or teeth, designed to look and function like natural teeth.
Unlike traditional tooth replacement options such as bridges or dentures, dental implants replace the tooth both above and below the gumline, providing superior durability, comfort, and longevity. Implants restore your smile to its natural state, enabling you to eat, speak, and smile with ease.
Types of Artificial Teeth for Dental Implants
Implant Crown (one tooth)


Implant Bridge (three to four Teeth)


Implant Overdenture (full arch)


Implant Fixed Prosthesis (full arch)


Dental implants can support various prosthetics, depending on the number of teeth that need replacement:
- Implant crown: Ideal for replacing a single missing tooth.
- Implant bridge: Used to replace three to four missing teeth in a row.
- Implant overdenture:: Designed to replace a full arch of teeth, often used for patients who have lost most or all their teeth.
- Implant fixed prosthesis: A permanent solution for a full arch of lost teeth, providing complete restoration.
The Dental Implant Process
Preoperative Processes
You will first undergo a thorough evaluation to determine if dental implants are the best solution for your dental issues. This includes a comprehensive examination and a 3D scan (cone-beam CT scan) to assess your jawbone’s density and the most strategic location/s for the implant/s. If there is insufficient bone, a bone graft may be recommended to reinforce the area and ensure the implant’s long-term success.
Implant Placement
During the surgical procedure, the following steps are performed:
- Local anesthesia is administered to ensure comfort during the procedure.
- A small incision is made in the gum tissue to access the jawbone.
- A hole is carefully drilled into the bone to place the implant.
- The implant is inserted into the hole, and the gum tissue is stitched up.
Following the surgery, the implant undergoes a process called osseointegration, wherein it is fused with the bone as the latter heals over a period of three to six months. Some patients may have a temporary tooth or other prosthetic attached during the same appointment, while others may require multiple visits to ensure optimal healing and placement.
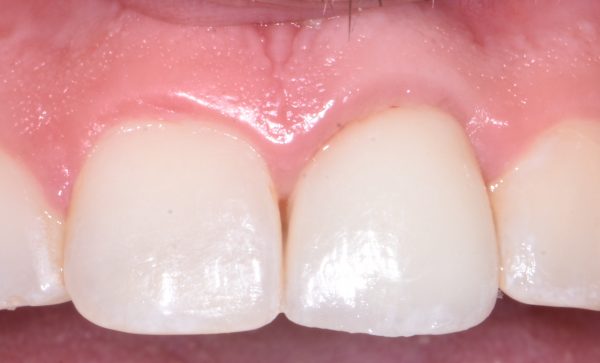
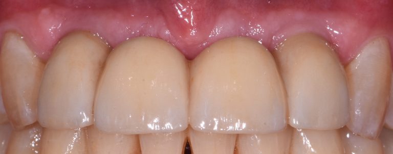
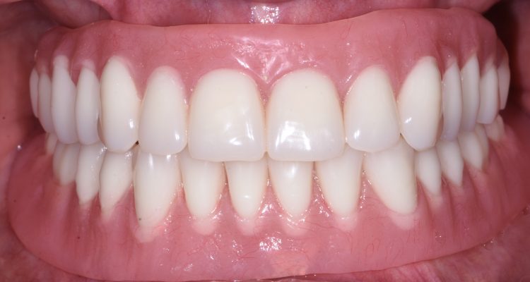
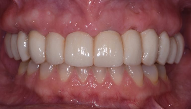
Implant Restoration
Once the implant has been fully integrated with the bone, the next phase begins: the fabrication and placement of your permanent artificial tooth or teeth. This typically requires two to four appointments and combines the technical and artistic aspects of prosthodontics. Dr. Leong uses advanced technology and his expertise in dental aesthetics to create lifelike, durable restorations that blend seamlessly with your natural smile.
Once your final dental prosthetics are attached, you’ll be able to eat, speak, and smile confidently, just like you did with your original teeth.
Maintaining & Caring for Your Dental Implants
Although dental implants are highly resistant to decay and cavities, proper oral hygiene is still essential to ensure their long-term success. Regular care will prevent plaque buildup and gum disease, which can lead to implant failure. To keep your implants healthy:
- Brush your teeth at least twice a day with fluoride toothpaste.
- Floss daily and use tools like a Waterpik to clean between the teeth and around the implants.
- Rinse with an antimicrobial mouthwash to reduce bacteria and plaque.
By following a consistent oral hygiene routine, you can help maintain your dental implants for many years.
Why Choose a Specialist for Dental Implants?
Part of what makes dental implants a reliable treatment option is that the procedure requires precision and expertise. Prosthodontists, periodontists, and oral surgeons are dental specialists who have undergone extensive training in implant therapy. They have been trained and equipped to identify potential issues before they arise and to address any complications quickly and effectively.
Choosing a specialist ensures that your dental implant procedure will be performed with the highest level of skill, giving you the best chance for a successful, long-lasting result.
Learn More About Dental Implants
Are you ready to enjoy the benefits of dental implants and regain your smile? Trailhead Dental is here to guide you through every step of the process, from initial consultation to the final restoration.
To learn more about our dental implant solutions or to schedule your consultation, visit our office at 4350 Wadsworth Blvd, Suite 360, Wheat Ridge, CO 80033, or call (720) 242-6803. Let us help you restore your smile and confidence with state-of-the-art dental implants!
Office Hours
MON - THU 7:15 am - 3:30 pm
FRI - SUN Closed














