Full Mouth Reconstruction in Wheat Ridge, CO
Unlike a single dental procedure, full mouth reconstruction encompasses a variety of treatments chosen to ultimately address the entire dentition. It involves repairing teeth that can be saved, replacing missing teeth, and improving the overall function and appearance of the teeth. This procedure not only enhances the health of the teeth but also rejuvenates the mouth’s function for better speaking, chewing, and smiling. Often, a full mouth reconstruction requires the collaboration of several dental specialists that could include an endodontist, periodontist, orthodontist, and oral surgeon to ensure comprehensive treatment.
At Trailhead Dental in Wheat Ridge, Colorado, we utilize advanced dental techniques and technology to provide complete dental transformations that not only fix dental problems but also restore your confidence.
Here are a few examples of full dental reconstruction:

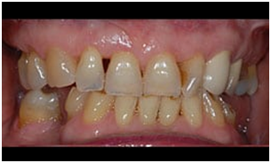
Before

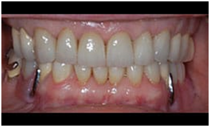
After

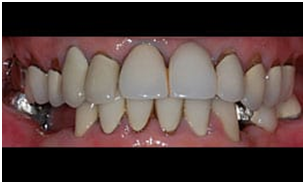
Before

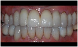
After

Before

After
Who Would Need Full Mouth Reconstruction
Full mouth reconstruction can benefit patients who suffer from:
- Extensive tooth loss
- Severe tooth damage or decay
- Periodontal disease
- Dysfunctional bite or misalignment
Our team utilizes cutting-edge technology such as digital X-rays, intraoral scans, and 3D printing to evaluate your oral health and determine whether full mouth reconstruction is the right choice for you. We ensure a customized treatment plan based on your specific needs and goals.
Benefits of Full Mouth Reconstruction
Undergoing a full mouth reconstruction could provide numerous benefits, including:
- Enhanced confidence: Achieve a smile that restores your self-esteem and makes you feel great about your appearance.
- Improved oral function: Enjoy chewing, speaking, and eating your favorite foods comfortably and without difficulty.
- Better oral health: Addressing underlying dental problems can significantly improve your oral health and prevent future issues.
- Long-term results: With proper care and maintenance, your restored smile can last for many years, keeping your teeth healthy and functional.
What to Expect During Full Mouth Reconstruction
Full mouth reconstruction is a highly detailed process that requires careful planning and thorough evaluation. The procedure is divided into several stages:
A thorough dental exam is conducted, along with radiographs (X-rays), to assess the extent of damage and disease. Impressions (molds) of your teeth are taken, and photographs are taken for accurate planning. Depending on the case, a cone-beam CT scan may also be used to get a 3D view of the oral structures for precise planning.
Once all diagnostic information is gathered, Dr. Leong will create a mockup of your new smile, providing a visual representation of the planned changes. This mockup helps you understand the vision for your case and assists in making informed decisions about your treatment.
Depending on your individual needs, procedures may include dental implants, crowns, bridges, veneers, dental bonding, gum treatments, and more.
Provisionals (temporary restorations) are created for you to wear while the permanent restorations are being fabricated. These temporary versions enable you to experience your new smile and evaluate its function, appearance, and comfort.
Visit Our Reconstructive Specialist
As a highly trained prosthodontist, Dr. Leong specializes in comprehensive dental care, including full mouth reconstruction. His expertise in planning, sequencing, and delivering personalized treatment ensures a high level of care and precision. His understanding of digital technology and the latest dental materials guarantees optimal results for patients undergoing this transformative procedure.
The Road to a New Smile
Full mouth reconstruction is an investment in both your oral health and your overall quality of life. It not only addresses multiple dental issues you may have but also restores functionality and beauty to your smile. With Dr. Leong’s expertise and the support of the Trailhead Dental team, you can be confident that your treatment will be tailored to your needs, using advanced techniques that deliver long-lasting results.
Conclusion
If you are considering full mouth reconstruction to restore your oral health and aesthetic appearance, Trailhead Dental is here to help. Dr. Leong and his team are committed to providing you with the highest level of care, utilizing the latest advancements in dental technology to ensure a positive and successful outcome.
For more information about full mouth reconstruction or to schedule a consultation, visit us at 4350 Wadsworth Blvd, Suite 360, Wheat Ridge, CO 80033, or call (720) 242-6803 to speak with one of our friendly staff members. Let us help you regain your smile, confidence, and optimal oral health!
Office Hours
MON - THU 7:15 am - 3:30 pm
FRI - SUN Closed